412-833-6166
New Teeth in Just One Day
in Upper St. Clair, PA
All Inclusive
All-In, No Hidden Fees
Zero Down Financing
Book An Implant Consult
Or Call: 412-833-6166

The whole staff is always just wonderful! So nice and easy to chat with! Makes sitting in a dentist chair easy!
Eileen W.
All-on-4 Dental Implants Cost
Pricing covers all extractions, the necessary number of implants, bone grafting, oral conscious sedation, and fixed teeth.

Consultation
FREE
Free thirty minute All On 4 Implant or other Denture Implant consult.
Free Consultation

Teeth Restoration
Why Permanent Teeth Restoration?
- Stable and Secure: Firmly anchored by implants, no adhesives needed.
- Natural Function: Feels and functions like real teeth.
- Quick Results: New smile and full function often in one day.
- Minimally Invasive: Fewer surgeries and quicker recovery.
- Custom Fit: Tailored for comfort and natural appearance.
- Durable: Long-lasting and cost-effective over time.
- Less Painful: Less pain and swelling
- Bone Preservation: Helps prevent bone loss and maintains facial structure.
- Enhanced Quality of Life: Boosts confidence and overall well-being.
Find out if you qualify for South Hills Dental Arts in less than 2 min.
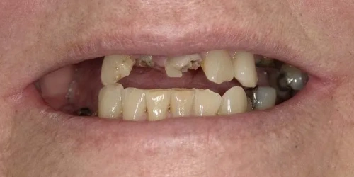
Patients Before and After

Easy Dental Financing Made Simple
Get the Smile You Deserve with Flexible Payment Plans and Quick Approvals
- $0 Down Payment
- High Approval
- Inquiry Won't Affect Score
- 48, 60, 90 month term
- 600+ Fico Score Required
- Decision Within Seconds
Book An Implant Consult
